Articles

Osteoporotic vertebral fractures
Osteoporotic vertebral fractures
Cervical Myelopathy
Cervical Myelopathy
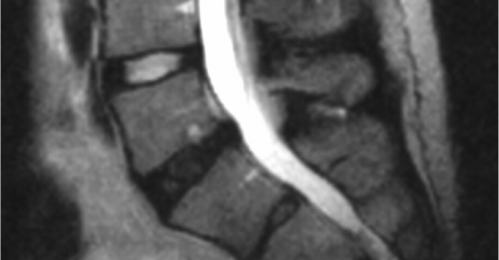
Spinal stenosis
Spinal stenosis
Lumbar Radiculopathy (Sciatica / Pinched Nerve)
Lumbar Radiculopathy (Sciatica / Pinched Nerve)
Back pain
Back pain
Degenerative disc disease (DDD)
Degenerative disc disease (DDD)

Degenerative disc disease, frequently referred to as DDD, is a term that describes changes in the spinal disc occurring with age. Let us look at those changes, whether they may be the source of pain, and what treatments are available.

Cervical artificial disc replacement
Cervical artificial disc replacement

Motion-sparing procedures is one of the current trends in spine surgery and likely will continue to prevail in the future. Among them, the cervical disc replacement is one of the best-developed and studied techniques. Let me give a quick overview of the surgery and who may benefit from it.

Lumbar laminectomy
Lumbar laminectomy

Laminectomy is an open surgical procedure that removes the lamina, a thin layer of bone that covers the spinal canal. It is done to relieve pressure from the nerves that causes pain, numbness or weakness.

Osteoporosis and spine health
Osteoporosis and spine health

Osteoporosisis a disease that decreases bone quality. It is a silent condition that often goes unrecognized unless it leads to fractures. Due to this risk, appropriate screening is needed. If a fracture has occurred, it may require surgical treatment.

Take a step towards living a fuller life
Request an Appointment
Doctor Nesterenko's team
Request an Appointment
Clicky